婚約指輪が無い!「もしや」と愛犬をレントゲン撮影したところ胃の中に…「やばい」「うちの犬も、もしや…」とネットで大反響

  • 文:Rikako Takahashi
Share:
shutterstock_1343316146.jpg
photo:Vetlife/Shutterstock※写真はイメージです

婚約指輪をなくしてしまった、ある女性。どこを探しても見つからなかったが、指輪は意外にも“一番な場所”から発見された。

飼い犬の胃を調べたら……

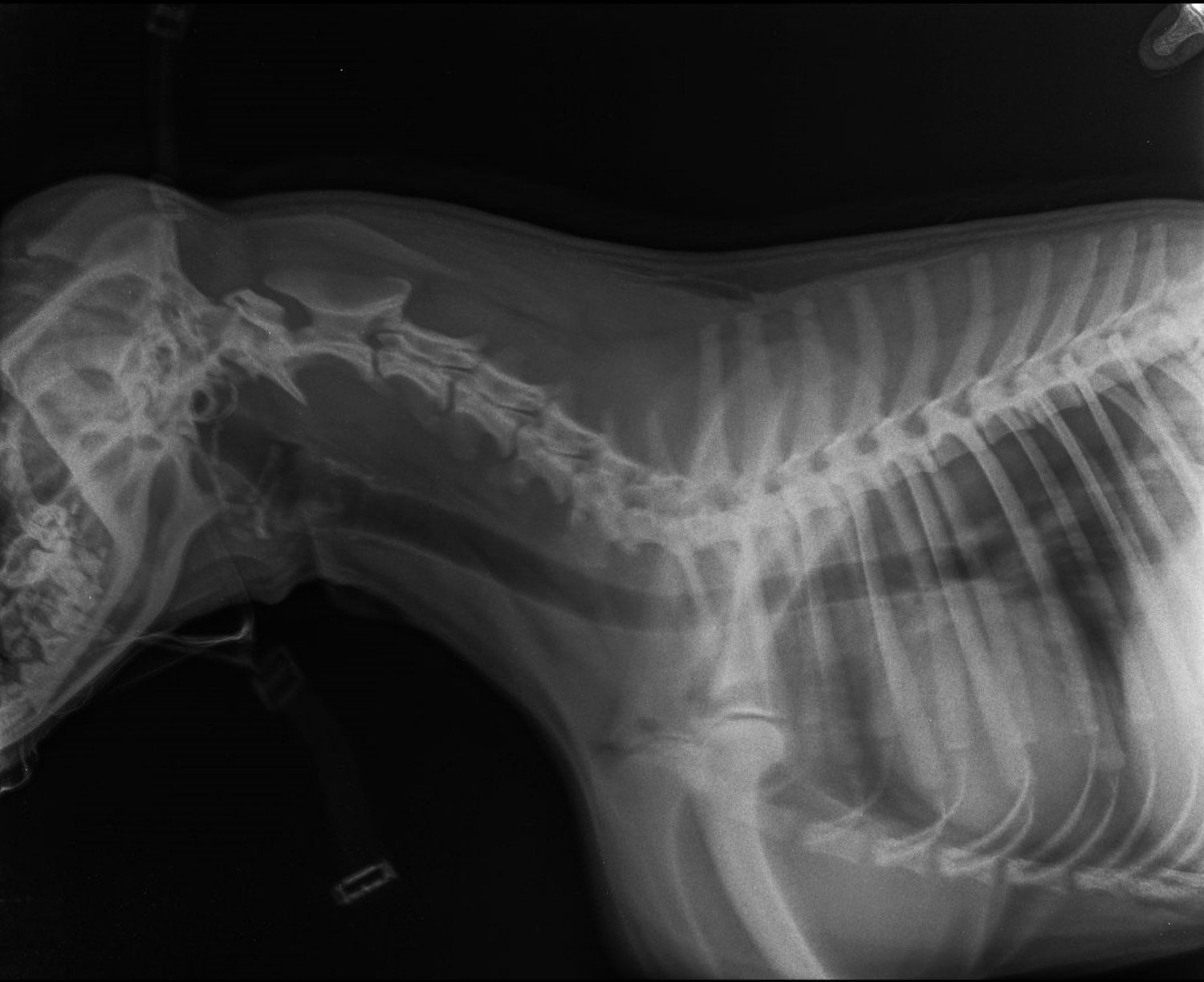
米フロリダ州在住の女性は、あまりにも指輪が見つからないため「もしや……」と愛犬のラブラドール、スモーキーに目を向けた。

動物病院に連れて行き、レントゲン写真を撮ってもらったところ、予想が的中。スモーキーの胃の中に、はっきりと指輪の影が写っていた。

女性の友人で、スモーキーを診察した獣医、ジュリー・ノイエスさんのTikTok投稿が反響を呼んでいる。

ジュリーさんは「スモーキーは本当におバカさん。ママの婚約指輪を食べちゃった。吐き戻さなかったから、ママがウンチの中を探す羽目に」と投稿文を添えて、レントゲンと出てきた指輪の写真を投稿した。

ウェブメディアThe Dodoによると、病院で指輪の排出を促したものの指輪はスモーキーの胃の中に留まり、なかなか出てこなかったそう。診察から1週間後、スモーキーはようやく指輪を吐き出した。

スモーキーの飼い主から相談された時のことを、「スモーキーがテーブルの上から指輪をもぐもぐ食べている姿を想像したら、おかしくて涙が出ました」とジュリアさんは振り返る。

「スモーキーはおバカさんだけど、本当に優しい子なんです」

「うちも食べられた」誤飲に注意

動画は100万回以上再生され、「やばい……。うちにもシルバー(グレーの毛並み)のラブラドールがいる」「うちのコーギーも、私のティファニーのイヤリングを食べた。出てくるまで待って、きれいに洗いました」などコメントが寄せられている。

飼い犬や飼い猫がアクセサリー類を誤飲すると、口内や消化器官を傷つけてしまう恐れがある。

誤飲を防ぐため、ジュエリーボックスなど手の届かない場所・見えない場所への保管が推奨されている。万が一口に入れてしまった時のために、「離せ」などの動作をしつけしておくと安心だ。

---fadeinPager---

@dogtorjulie Smokey was a very silly boy and ate his moms engagement ring! It didn’t come up in his 🤮 so mom had to search all of his poop until HE FINALLY GAVE IT BACK!!! I freaking love this silly dog. #kindanimalcarefl #veterinarian #diamondring #labrador #dog ♬ WHERE IS MY HUSBAND! - RAYE